Cleft lip and palate (CLP) are craniofacial dysmorphisms that fall within the anomalies of the developmental jaws as they are congenital malformations characterized by the arrested development of the homonymous regions of the maxillofacial district. Orofacial clefts occur due to failure of migration or fusion in the embryonic period of intrauterine life; craniofacial skeletal structures, hard and soft tissues of the oral cavity are particularly involved. The cause of cleft lip and/or palate (CLP) is thought to be multifactorial, namely through genetic or environmental factors.
1. Introduction
In literature, recent studies express consensus about the prevalence at birth of CLP, which on average is around 1 over 500 live births in eastern countries and decreases to 1 over 1000 live births in western countries [1][2][3][4][5][6][7].
1.1. Cleft Lip and Palate-Related Orodental Issues in the Pediatric Age
Oral problems occurring in the pediatric age in subjects affected by cleft lip and palate are characterized by both dental anomalies and oral health problems. The latter are linked not only to oral anomalies, but also to the presence of cicatricial results from early maxillary orthopedics and surgery which interfere with adequate oral hygiene maneuvers and consequentially increase the risk of tooth decay and gingivitis [8][9]. The several orodental problems that might affect pediatric CLP patients are: anomalies of number (excess and defect), anomalies of shape, anomalies of volume, anomalies of seat, anomalies of structure, eruption anomalies, maxillary bones growth deficit, poor oral hygiene and related risk of gingivitis and dental caries [10][11].
Recent epidemiological studies aimed at evaluating the prevalence of pediatric dentistry problems associated with CLP. A very recent case-control study [12] was conducted on Columbian pediatric patients with non-syndromic CLP aged between 5 and 12 years. The sample consisted of 210 CLP subjects and 210 healthy subjects. Only dental anomalies affecting permanent teeth were considered. CLP patients presented a significantly greater risk (p < 0.0001) of developing agenesis of the maxillary lateral incisors, supernumerary teeth, microdontia of the maxillary lateral incisors, and rotation of the maxillary central incisor adjacent to the cleft. Most anomalies were located in the cleft area. In particular, the highest prevalence was found for the microdontia of the lateral maxillary incisors, followed by rotations of the central maxillary incisors, agenesis of the lateral maxillary incisors, and supernumerary teeth.
A Japanese longitudinal study from 2017 [11] studied a large sample of CLP patients in the period from 1970 to 2009 with the aim of collecting data on dental anomalies. The study examined the medical records of 1724 CLP subjects, distributed in different phases of dentition, assessing the presence of dental anomalies in association to the single dental element, to the type of cleft, to the gender, and to the location of the anomaly in relation to the skeletal area of the cleft. In relation to hypodontia of the maxillary arch, the study found that the most affected dental elements were the lateral incisors, both primary and permanent, and the second permanent premolar. The overall prevalence of hypodontia was 16.2% in primary dentition and 52.7% in permanent dentition. In both cases, the prevalence increased with the severity and extension of the defect and therefore of the cleft. Furthermore, in primary dentition, the prevalence was higher on the cleft side than on the contralateral side. In both dentitions, there were no differences between males and females and between the right and left sides. Microdontia mainly affected the permanent maxillary lateral incisors. Dental fusions were more frequent in primary than in permanent dentition and the main affected teeth were the primary upper central and lateral incisors, the corresponding lower central and lateral incisors, and the primary lower canines. The prevalence of supernumeraries was 17.7% in primary dentition and 5.7% in permanent dentition. The maxillary lateral incisors were mainly affected [11].
A systematic review in 2019
[13] conducted on scientific articles of the last 20 years examined oral health problems related to the prevalence of caries and to oral hygiene patterns in patients with CLP. The 39 selected articles exhibited a high heterogeneity of type of study, observed population, evaluation periods, and considered variables. Nevertheless, the review notes a general consensus that pediatric patients with CLP tend to have higher plaque indices, higher prevalence of dental caries, and worse oral hygiene patterns than non-CLP subjects, hence the need to identify standardized protocols and to develop specific devices for the prevention and control of oral hygiene in the cleft area.
A case-control study of 2017
[14] examined dental caries and periodontal status of children and adolescents with CLP compared to a homogeneous control sample. The CLP sample included 156 patients between 5 and 18 years. The study measured DMFT and dmfs indexes, plaque index, gingival bleeding index, periodontal attachment level, and depth of the periodontal pocket and used these parameters to diagnose gingivitis and periodontitis. The study showed that the scores of all indices were significantly higher in the affected subjects than in the control sample and 29% of the subjects with CLP had generalized gingivitis compared to 1% of the unaffected subjects.
1.2. Multidisciplinary Approach in the Management of CLP Patients
Cleft lip and palate children benefit from a multidisciplinary team approach and special treatment requirements. Dental caries can be a crucial additional problem to these children: a good dietary awareness in relation to dental caries should be encouraged from early life, commencing with discussions between the mother and dental surgeon shortly after the birth of the child
[15]. Prevention through sealants and varnishes should be performed when possible and individuals undergoing surgery should have an excellent oral condition, removing the sources of infection that may compromise the surgery. Supernumerary and/or malpositioned deciduous teeth adjacent to the cleft should be maintained as long as possible, in order to preserve bone tissue that is already defective in this region.
In all the above-mentioned cases, the pediatric dentist plays a crucial role in achieving all these goals. Furthermore, the goal of the pediatric dentist within the CLP multidisciplinary team is to maximize oral motor function in affected children. This includes: working with the nutritionist to facilitate feeding; fabricating speech appliances as an aid to speech therapy; stabilizing and improving oral morphology to optimize surgical results and provide for optima masticatory function and esthetics. To accomplish these goals, three periods represent the different steps and evolutions to follow: newborn period, period of primary and mixed dentitions, and teenage period
[16].
The value of a multidisciplinary team is widely known and mentioned in the literature, but very few papers focus on the role and the importance of the pediatric dentist.
2. The Role of the Pediatric Dentist in the Multidisciplinary Management of the Cleft Lip Palate Patient
The clinical management approach to enamel hypoplasia in the child affected by CLP is substantially superimposable to that which is carried out in unaffected subjects. It is mainly based on the control of the diet, which must be low in carbohydrates, on motivating parents to apply home oral hygiene practices in the child’s early childhood, and on providing adequate oral hygiene instructions. Topical fluor prophylaxis and sealing of the furrows of the permanent molars will be provided and, finally, it will be necessary to schedule periodic follow-up checks on the state of dental health.
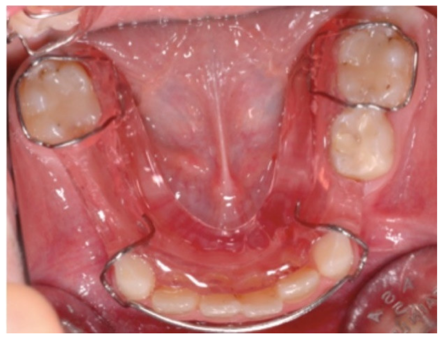
The therapeutic approach to hypodontia is primarily based on a preventive approach which includes the early initiation to oral hygiene maneuvers, the planning of professional oral hygiene sessions at regular intervals, and topical fluor prophylaxis. The main objective is, therefore, the preservation in the arch of the intact deciduous dental element and the maintenance of the dental arch length with the management of the arched space through the use of orthodontic devices with the aim of preventing the mesial migration of the adjacent dental elements (Figure 1).

Figure 1. Example of orthodontic device aimed at maintaining space in the dental arch.
Proper prevention in the clinical management of hypodontia must therefore consider the evaluation of the growth control of the dentoalveolar arches, which will therefore require the use of removable orthodontic plates equipped with auxiliary elements such as sagittal and transverse screws for growth control (Figure 2).

Figure 2. Examples of orthodontic plates with transversal screw.
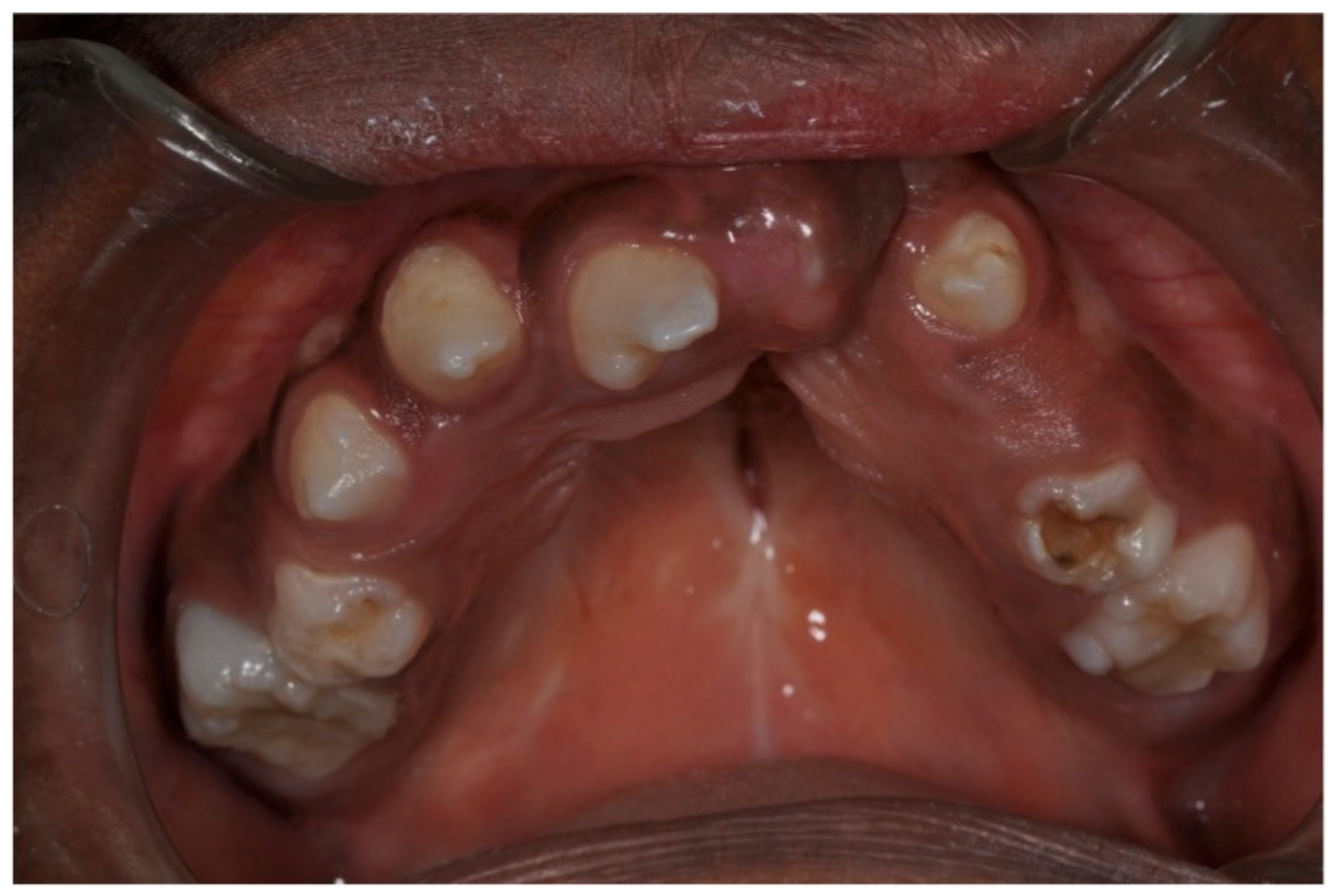
The clinical management of hypodontia in individuals with CLP must also be based on the evaluation of the potential presence of associated dental anomalies. In fact, especially in birth defects such as CLP, the prevalence of association between defective number anomalies (hypodontia) and shape anomalies is high (Figure 3).

Figure 3. Example of patient with shape anomalies.
Other associated anomalies may include the delayed exfoliation of the deciduous elements (Figure 4) and eruption delays.
Figure 4. Delayed exfoliation of the deciduous elements and eruption delays.
Therefore, the approach to hypodontia is complex as the pediatric dentist—together with the orthodontist—must not only manage the conservation of the deciduous elements and plan the preservation of the spaces in the arch while managing the growing length of the arches, but also evaluate the punctual timing of the exchange and tooth eruption control while monitoring contextual potential ectopic eruptions of the first permanent molar (Figure 5) or deciduous teeth exfoliation delays.
3. Conclusions
The management of CLP patients in pediatric dentistry must always be based on the choice of therapeutic solutions related to the level of severity of the risk and on the recognition of the determining role of the compliance of the little patient.
The role of the pediatric dentist in pediatric dental care for the patient with a cleft lip and palate extends from birth through to adolescence and young adulthood and also plays a vital role in CLP multispecialty team. Apart from this, the pediatric dentist can also play a crucial role in communicating with the rest of the team. For the parents of babies with a cleft, the stages of cleft surgery are major landmarks: the dentist needs to understand the surgical procedures and their timing so that dental care can be integrated sensitively within the overall treatment plan. Two-way communication helps to achieve the most effective treatment plan for the individual.