Giant cell arteritis (GCA) is a primary autoimmune vasculitis that specifically affects medium-sized extracranial arteries, like superficial temporal arteries (TAs). The most important data to be considered for the ultrasound (US) diagnosis of temporal arteritis are stenosis, acute occlusions and “dark halo” sign, which represent the edema of the vascular wall. The vessel wall thickening of large vessels in GCA can be recognized by the US, which has high sensitivity and is facile to use. Ocular complications of GCA are common and consist especially of anterior arterial ischemic optic neuropathies or central retinal artery occlusion with sudden, painless, and sharp loss of vision in the affected eye. Color Doppler imaging of the orbital vessels (showing low-end diastolic velocities and a high resistance index) is essential to quickly differentiate the mechanism of ocular involvement (arteritic versus non-arteritic), since the characteristics of TAs on US do not correspond with ocular involvement on GCA. GCA should be cured immediately with systemic corticosteroids to avoid further visual loss of the eyes.
1. Introduction-Giant Cell Arteritis (GCA)
Giant cell arteritis (GCA), also named temporal, granulomatous arteritis, or Horton disease, represents a primary autoimmune (non-necrotizing granulomatous) vasculitis
[1][2][3][4][5][6].
It develops local activation of T cells and macrophages in the arterial wall and plays an important role in inflammatory cytokines, primarily IL1β, 6 and TNFα. Target antigens for the T-cell immune response are found in the inner elastic layer of the arterial wall
[1][2][3][4][5][6].
GCA produces a segmental inflammation (discontinuous arterial involvement), with intermittent narrowing of the caliber of the artery, leading (by wall thickening) to partial obstruction (stenosis) or occlusion of the affected artery, its main clinical features being represented by signs of local ischemia
[1][2][3][4][5][6]. The intensity of arterial injury is related to the proportion of elastic tissue in the media of the affected artery. On the one hand, because the intracranial arteries have less elastic fibers, they are rarely affected, resulting in fewer ischemic strokes. On the other hand, due to the fact that the extracranial arteries have more elastic fibers, GCA is of particular interest for extracranial medium-sized arteries (especially the superficial temporal arteries (TAs), or other branches of the external carotid arteries (ECAs)). Less often, it affects small extracranial arteries (like orbital vessels: posterior ciliary arteries (PCAs), or central retinal artery (CRA)), or large-sized arteries (aorta and its major branches)
[1][2][3][4][5][6].
GCA is the most frequent sort of vasculitis that appears after the age of 50. Women are two to three times much more likely to be affected than men; the Caucasians, mainly northern Europeans and other patients in northern latitudes, are much more likely to be affected
[1][2][3][4][5][6].
The American College of Rheumatology (ACR) modified criteria for the classification of GCA are as follows:
-
An arteritis usually interesting the aorta and its major branches, especially the branches of the external carotid and vertebral arteries (the temporal artery being often affected);
-
Usually patients with an age greater than 50 years at the appearance of clinical disease;
-
Frequently associated with polymyalgia rheumatica, manifested by systemic symptoms, represented by fever, pain in the shoulders and hips, malaise, weight loss;
-
New onset of a medium temporal headache;
-
A clinically modified temporal artery (consisting in tenderness of the vessel or reduced temporal artery pulse), associated with scalp tenderness.
-
Claudication of the jaw on mastication or tongue on mastication and on deglutition.
-
An augmented erythrocyte sedimentation rate, more than 50 mm/h;
-
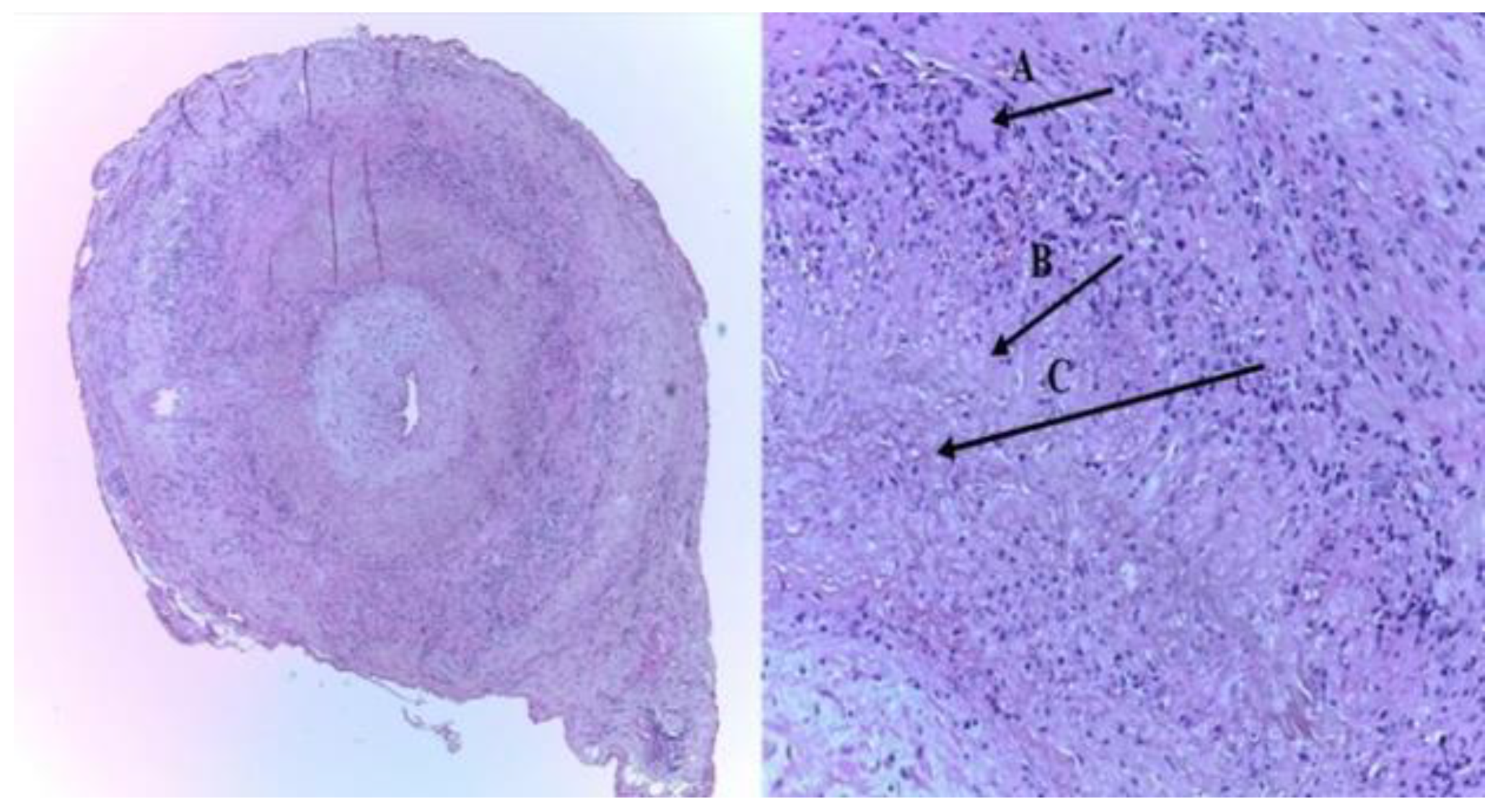
A temporal artery biopsy (TAB) sample, indicating necrotizing of the vessel wall, with predominant mononuclear cell infiltrates or a granulomatous pathological process represented by multinucleated giant cells
[7][8] (
Figure 1)
[9].

Figure 1. The histopathologic picture of the left superficial temporal artery biopsy (TAB): (A) intimal thickening, and an inflammatory infiltrate with giant cells of the media layer (typical granulomatous inflammation), (B) epithelioid cells, and (C) characteristic internal limiting lamina fragmentation (H&E staining-left-×40; right-×100)
[9].
According to different authors, other suggestive features for GCA are a C reactive protein-PCR more than 1.5 mg/dL and frequent ophthalmological complications, consisting in acute, painless, and severe loss of vision in the affected eye
[1][2][3][4][5][6].
2. Ultrasonography (US) in Giant Cell Arteritis (GCA)
2.1. Background
The advantages of US over different imaging techniques in GCA are described by its swiftness (approximately 15–20 min, if it’s executed by a skilled sonographer) and its high resolution (a high–frequency probe offers each an axial and a lateral resolution of 0.1 mm in B-mode)
[10][11][12][13][14][15][16][17]. In addition, US is more sensitive than TAB, because the later exams only have a limited anatomical location in systemic disease, like GCA.
Due to the fact that GCA can affect multiple large, medium, and small size extracranial arteries, we have to assess the TAs by US, as well as:
-
Other medium-sized arteries (branches of the ECAs): the internal maxillary artery (claudication of the jaw on mastication), the renine artery (claudication of the tongue on mastication or on deglutition), the facial, and the occipital arteries,
-
Large size arteries: the common carotid arteries (CCAs), the ECAs, the internal carotid arteries (ICA’s), the vertebral, the subclavian, and the axillary arteries,
-
Small size arteries: the ophthalmic arteries (OAs) and the CRAs and PCAs
[9][18][19][20][21][22][23][24][25].
2.2. Ultrasonography (US) of the Temporal Arteries (TAs) and Other Medium Size Arteries
The common superficial TA divides into the frontal and parietal ramus, just immediately before the ear. The distal part of TA and their two rami are localized between the two layers of the temporal fascia, which can be identified by US exam as a brilliant band. Both the lumen size of the TA and both layers of this fascia, including the TA’s wall, measure 0.7 mm, respectively
[11][12][13][14].
2.2.1. Technical Requirements (According to Schmidt)
Linear transducers must be used with a minimum grayscale frequency of 8 MHz. Color frequency should be about 10 MHz
[11][12][13][14].
2.2.2. Machine Adjustments (According to Schmidt)
The pulse repetition frequency (PRF) should be 2.5 kHz as peak systolic velocities are rather high (20–100 cm/s)
[11][12][13][14].
2.2.3. Sequence of the US Exam (According to Schmidt)
The color Doppler US exam includes eight segments of the TAs in two planes (longitudinal and transversal scans): common superficial TA, parietal proximal, parietal distal (>2 cm distal from the bifurcation) frontal rami on both sides. If the color signals observe localized aliasing and persistent diastolic arterial flow, one should utilize the power-Doppler mode to identify the stenoses
[11][12][13][14].
Ultrasound exam observes that inflammation is often segmental, due to a discontinuous vessel damage-skip lesions in temporal arteries or other branches of ECAs
[11][12][13][14][15][16][17][26].
There are four main findings noted in the US diagnosis of temporal arteritis:
a.“Dark halo” sign: An usually homogeneous, hypoechoic wall thickening surrounding the lumen of an inflamed artery. It is well outlined towards the luminal side, visible both in longitudinal and transverse planes, most commonly concentric in transverse.
It describes the edematous arterial wall swelling, whereas histology exam displays cell infiltrates and granulomas. TAB may miss the pathological zone because of the segmental appearance of temporal arteritis
[10][11][12][13][14][15][16][17][26][27][28][29] (
Figure 2)
[19].

Figure 2. Duplex ultrasound of the right temporal artery−transverse view. The white arrow indicates a “halo” sign (a dark/hypoechoic circumferential wall thickening around the lumen), which represents arterial wall edema
[19].
- b. Stenoses are characterized by aliasing and persistent diastolic flow by colour Doppler US. The peak systolic velocity (PSV) assessed within the stenosis area by pulsed-wave Doppler US is two or more times greater than the PSV recorded in the prestenotic segment of the vessel, with turbulence at the level of stenosis, associated with diminished velocities distal to the stenosis [10][11][12][13][14][15][16][17][26][27][28][29] (Figure 3) [19].

-
-
Figure 3. Duplex ultrasound of the right temporal artery−longitudinal view. Indicates a “halo” sign and a stenosis revealed by a turbulent flow and a high PSV in the stenosis area (1 m/s), which is more than twice the PSV in the prestenotic segment of the artery
[19].
- c. Acute occlusions, wherein the US image is similar to that of acute embolism in different other vessels, with lack of color Doppler signals (even with low pulse repetition frequency and high color gain) in a visible artery lumen filled with hypoechoic material (cloth) [10][11][12][13][14][15][16][17][26][27][28][29].
- d. Compression sign. The thickened vessel wall remains visible upon compression by the ultrasound examiner; the wall swelling is hypoechogenic (in acute temporal arteritis), contrasting with the mid-echogenic to hyperechogenic surrounding tissue [26].
2.3. Duplex and Color-Coded Duplex Sonography of the Large Cervical and Cervico-Brachial Vessels
The Chapel Hill Consensus Conference (2012) considered large vessel vasculitis (LVV) as vasculitis affecting the aorta and its major branches more often than other type of vasculitides; however, any size (large, medium, small) of an artery may be affected
[8][10].
For example, in GCA, could be affected at the same time: (a) large arteries (e.g., aorta, the subclavian and axillary arteries, the CCAs, the ICAs), (b) medium arteries (e.g., TAs, inner maxillary arteries), and small arteries vascularizing the eye and orbit (e.g., CRA, or PCAs)
[8][10][11][12][13][14][15][16][17][26][27].
LVV GCA has been previously disregarded and underdiagnosed. However, there is important evidence confirming that large arteries are affected in around two-thirds of GCA cases and one-third of patients with polymyalgia rheumatica (PMR)
[27].
Sturzenegger asserted that angiography could not illustrate the vessel wall anatomy. Consequently, for diagnosing inflammation of the cervical and cervico-brachial large vessels, US can be very helpful, as it can identify changes of the vessel walls, like dark halo sign (by using B-mode imaging) and it can assess arterial stenosis or occlusions (with pulse-wave-PW Doppler flow velocities measurements, and Color Doppler Duplex sonography)
[10].
According to different authors, there are two US features of large vessels GCA:
-
Vessel wall thickening, represented by the dark halo sign, which is homogeneous, circumferential and overlong segments
[8][10]. According to Diamantopoulos and al, the cut-off limit for vasculitis (GCA) for the CCAs is 1.5 mm and for the axillary arteries is 1 mm
[30].
-
Stenosis, due to a segmental inflammation, which produces a discontinuous arterial involvement (hourglass-like)
[8][10].
The arterial wall inflammation, stenosis, or occlusions of the large arteries (e.g., CCA, ICA) persists for months, despite corticosteroid treatment
[8][10] (
Figure 4 and
Figure 5)
[18].
Figure 4. Large vessel GCA. Duplex ultrasound of the right CCA-transverse view. A dark “halo” sign-a hypoechoic circumferential wall thickening around the lumen (which represents arterial wall edema), and occlusion of the artery (the lumen of the vessel is obstructed) [18].

Figure 5. Large vessels GCA. Duplex ultrasound of the right CCA-longitudinal view. The artery presents a dark-hypoechoic circumferential wall thickening (which represents arterial wall edema) [18].
2.4. Color Doppler Imaging (CDI) of Orbital (Retro-Bulbar) Vessels
Permanent visual loss has been reported to occur in up to 19%, and visual symptoms in up to 31% of acute GCA cases
[28]. Unfortunately, 20% of GCA cases with visual loss have occult GCA, without systemic manifestations
[31].
This is why early diagnosis and therapy with glucocorticosteroids protect against visual loss
[32].
However, if the visual loss has already appeared therapy with glucocorticosteroids is ineffective
[33].
For all these reasons, Diamantopoulos et al. examined the fast-track outpatient GCA clinic (FTC), based on quick clinical, laboratory and US evaluation (scanning in maximum 24 h after clinical exam of just temporal, axillary, and carotid arteries) of the cases suspected to have GCA and immediate therapy if appropriate. The main objective of their study was to assess whether the rate of visual loss in GCA cases was lower in the period with the FTC approach compared with the period before, with the conventional exam. They concluded that the implementation of the FTC in GCA management appeared to significantly decrease the risk of permanent visual loss
[30].
In conclusion, a significant percentage of patients with GCA detected by TAB have ophthalmological complications, clinically manifested by unilateral sudden, painless, and sharp loss of vision due to vasculitic involvement of the small retrobulbar arteries in the affected eye
[34][35][36][37][38][39][40][41][42][43]:
-
Arteritic Anterior Ischemic Optic Neuropathies (AAION) results from short posterior ciliary arteries (PCAs) vasculitis and the consecutive optic nerve head (ONH) infarction
[34][35][36][37][38][39][40][41][42][43], or,
-
Central Retinal Artery Obstruction (CRAO) occurs when the thrombotic blockage produced by the vasculitic process due to GCA is within the optic nerve substance
[34][35][36][37][38][39][40][41][42][43],
Other ophthalmological complications are represented by branch retinal artery occlusion (where arterial branches that supply the inner layer of the retina are affected; their occlusion leading to a sectoral pattern of retinal opacification), diplopia (which is most commonly caused by abducens nerve palsy) and amaurosis fugax (which is a transient monocular vision loss)
[34][35][36][37][38][39][40][41][42][43].
According to Schmidt et al., among different patients with acute temporal arteritis and concomitant visual symptoms, unlike for TAB, there was no correlation between the findings of TAs US and the occurrence and severity of eye involvement in newly diagnosed, active GCA. US identifies edematous wall swelling, whereas histology displays cell infiltrates and granulomas. Visual complications appeared less frequently if proximal arm large-vessel GCA was present. (axillary arteries were affected)
[28].
For this reason, and because ophthalmological complications are frequent in GCA, we always have to exam by duplex ultrasonography the orbital (retro-bulbar) vessels in patients with known GCA or in cases of unilateral, acute, painless, and severe loss of vision
[9][18][19][20][21][22][23][24][25].
3. Conclusions
US represents a first-line diagnostic investigation for patients presenting with clinical features and biologic data suggesting GCA, taking into account that US has a high sensitivity for identifying the dark halo sign (which represents vessel wall thickening) in the case of a segmental inflammation of large/medium arteries.
For this reason, in our department, US represents a safe and reliable alternative to TAB as a point of care diagnostic tool in the diagnosis of temporal arteritis, or large vessels GCA.
A significant percentage of patients with GCA detected by TAB present ophthalmological features, consisting especially in arteritic form of anterior ischemic optic neuropathy, or central retinal artery thrombotic occlusion.
In acute unilateral CRAO, Color Doppler ultrasonography of the retrobulbar vessels observes a severely diminished or absent blood flow in the central retinal artery (CRA) of the clinically affected eye, with the normal flow in the homolateral PCAs and OA.
In acute unilateral Arteritic AION (A-AION), Color Doppler ultrasonography of the retrobulbar vessels reveals a severely diminished or absent blood flow in the PCAs of the clinically affected eye, with normal flow in the homolateral CRA and OA.
Color Doppler US of intraorbital arteries in NA-AION indicates that velocities and RI in PCAs are generally preserved in the clinically affected eye.