2. Current Insights
Owing to the key role of IL-17A in the pathophysiology of chronic inflammation and autoimmunity, therapeutic strategies targeting the pro-inflammatory cytokine were inevitably developed
[24]. Among them, targeting of IL-17A with a neutralizing antibody was a promising approach
[25]. In the present study we applied this approach to study the role of IL-17A in modulating neurogenesis and trauma-related behavior. Nevertheless, we found that anti-IL-17A antibody treatment increased the levels of serum IL-17A in mice (
Figure 1A,B). Such a phenomenon was previously described for other cytokines and was attributed mainly to the protecting effect of the cytokine-antibody complex, resulting in increased half-life and availability of the cytokine
[26][27]. Indeed, we found that IL-17A was present in the serum of anti-IL-17A treated animals in large complexes above 100 KDa (
Figure 1C), which is well above its expected size of 35 kD
[28]. Recently, a negative feedback of IL-17A/IL-17RA signaling was reported in Th17 cells as knockout of IL-17A in Th17 increased the IL-17RA expression
[29]. Thus, the downregulation in the expression of the receptor IL-17RA in the hippocampus of mice treated with anti-IL-17A (
Figure 1D) suggests that IL-17A complexes in these mice are bioactive rather than inactive.
Figure 1. Antibody treatment affects IL-17 serum levels. Serum collected from mice at the end of the experiments (2.5 weeks post-trauma exposure) was analyzed for the protein levels of IL-17A (A) and IL-17F (B) using ELISA assay. Subgroups included pre-treatment with anti-IL17A antibodies (anti-IL17A), anti-IL-23 antibody (anti-IL-23), and vehicle injected animals (Control). (A) A graph presenting IL-17A serum levels detected by ELISA. (B) IL-17F detection of the same sub-treatment groups as described in (A). (C) Serum from control (vehicle treated animals) and anti-IL-17A treated animals was size filtered with 100 KDa cut-off membrane filter. The serum fraction containing protein complexes > 100 KDa was assayed for IL-17A levels using ELISA. The graph depicts the resulted concentrations. (D) A graph presenting the total amount of recombinant murine IL-17A that was filtered by a 100 KDa membrane filter with or without pre-incubation with anti-IL17A antibody (1:1 ratio). A total amount of 20 ng rIL-17A was filtered, and filtrate was analyzed by IL-17A ELISA with the total amount of protein calculated. (E) A graph presenting the relative gene expression for IL-17 receptor A (IL-17RA) in the hippocampus of animals from all treatment groups sacrificed 2.5 weeks post-trauma exposure, as detected by real-time PCR on hippocampal RNA. All data in the graphs is presented as mean ± SE. *p < 0.05, **p < 0.01, ****p < 0.0001,. Paired symbols represent statistical significance between the two corresponding groups: #p < 0.05.
In contrast to anti-IL-17A, anti-IL-23 administration resulted in reduced levels of IL-17A and F in mice exposed to trauma. Surprisingly, in control mice not exposed to trauma administration of anti-IL-23, IL-17A decreased but IL-17F increased (
Figure 1A,B). Indeed, it was recently reported that downregulation of IL-23 in psoriatic lesions does not result in reduced IL-17 expression and suggests alternative regulatory pathways for IL-17 expression
[30]. We therefore consider anti-IL-17A treatment as representing sustained increased levels of serum IL-17A, while anti-IL-23 represents lower levels in trauma-exposed mice.
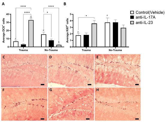
Adult hippocampal neurogenesis is important for cognitive flexibility and pattern separation, and thus was suggested as a possible etiology for mood disorders including PTSD
[31]. Studies in rodents previously demonstrated impaired adult hippocampal neurogenesis in PTSD models
[15][16][17]. Similarly, we found that exposure to trauma reduced the proliferation of neural progenitors (ki67
+) in the sub-granular zone and the number of newly formed neurons (DCX
+) in the granular cell layer of the dentate gyrus (
Figure 2). The involvement of IL-17A in this reduction is evident from the observations that anti-IL-17A treatment (i.e., increased IL-17A in the serum) mimicked the effect of trauma in control animals that were not exposed to trauma and significantly reduced the number of DCX
+ cells (
Figure 2A). Furthermore, anti-IL-23 treatment prevented the reduction in hippocampal neurogenesis in trauma exposed mice (
Figure 2) and had an antagonistic effect on overall neurogenesis parameters than anti-IL-17A treatment. The surprising reduction in DCX
+ cells in control animals treated with anti-IL-23 can be similarly explained by the observed increase in IL-17F levels in these animals (
Figure 1B).

Figure 2. Exposure to trauma and antibody treatment affect hippocampal neurogenesis. Hippocampal neurogenesis was assessed by immunohistochemistry for proliferating neuro-progenitors (Ki67) and early differentiating neurons (DCX). (A) A graph presenting the average number of positive Ki67 cells in the sub-granular zone per hippocampal slide. (B) A graph presenting the average number of positive DCX cells in the granular cell layer per hippocampal slide. Representing micrographs of DCX- stained hippocampi from trauma exposed mice treated with anti-IL-17A (C), anti-IL-23 (D), control (vehicle) (E) and control (no trauma) mice treated anti-IL-17A (F), anti-IL-23 (G) and control (vehicle) (H). All data in the graphs is presented as mean ± SE. *p < 0.05, ****p < 0.0001. Paired symbols represent statistical significance between the two corresponding groups: $p < 0.05, #p < 0.05. Scale bars represent 20 μm.
Indeed, previous studies have demonstrated the inhibitory effect of IL-17 on neurogenesis, in particular, on neural progenitor proliferation in vivo and in vitro
[23][32][33][34][35][36]. In the present study, we suggest that IL-17A’s effect can be partly explained by the upregulation of
Hes1 in trauma exposed animals treated with anti-IL-17A (
Figure 3A). Hes1, a downstream transcription factor of the NOTCH signaling pathway, is a known negative regulator of neurogenesis
[37][38]. Nevertheless, we also observed an increase in the expression of genes associated with neuronal maturation such as the neurite repellent
Slit2 and Acetyl-choline esterase (
Ache) in trauma exposed animals treated with anti-IL-17A (
Figure 3). In addition,
Ache expression was also increased in control animals not exposed to trauma that were treated with anti-IL-23, but presented high serum levels of IL-17F (
Figure 1). We suggest that while early neurogenesis was inhibited by IL-17 (i.e., progenitor proliferation and early neuronal differentiation), maturation of already formed neurons was increased. Indeed, we previously proposed such a dual role of IL-17 on neurogenesis, as we observed it in vitro and in vivo in naïve animals that were treated with a single dose of IL-17A
[23].

Figure 3. Exposure to trauma and antibody treatment affect hippocampal gene expression. Relative gene expression (2−∆ΔCT) detected by real time PCR performed on hippocampal RNA obtained from mice 2.5 weeks following exposure to trauma, for the following genes: (A) Dll1. (B) Hey1. (C) Hes1. (D) Slit2. (E) Chrm2 and (F) Ache. All data in the graphs is presented as mean ± SE. *p < 0.05, **p < 0.01. Paired symbols represent statistical significance between the two corresponding groups: #p < 0.05.
Exposure to electric foot-shock stress did not impair general anxiety and locomotor activity (
Figure 4). It did, however, increase trauma-related freezing behavior and reduce social interaction 3 and 7 days following exposure to trauma, respectively (
Figure 5). While both treatments with anti-IL-17A and anti-IL-23 did not affect freezing behavior, an opposite effect was observed on social interaction. Treatment with anti-IL-17A prevented social deficits on day 7 while anti-IL-23 exacerbated social deficits that were continued for 14 days following the exposure to trauma (
Figure 5B). Interestingly, significant differences between the treatments were also noted in naïve mice that were not exposed to electric foot shock at all. We suggest that the increased levels of IL-17A present in the serum of anti-IL-17A exposed mice, as opposed to anti-IL-23 treated mice, are responsible for increased social interaction in anti-IL-17A treated animals. Indeed, we have previously reported on the possible positive effect of IL-17A on cognitive and affective behavior. We found that a single intravenous injection (8 μg) of IL-17A to naïve ICR mice resulted in improved spatial learning
[23]. Furthermore, in a murine model for schizophrenia treated with mesenchymal stem cells, long term improved social behavior was achieved and was significantly correlated with increased hippocampal expression of IL-17
[39]. Indeed, it was recently reported that schizophrenia patients in remission following therapy had improved cognitive functions that were positively correlated with IL-17 serum levels
[40]. Finally, a recent study demonstrated that local infusion of IL-17 to the somatosensory cortex of mice exhibiting impaired sociability due to maternal immune activation resulted in the reversal of social deficits
[41].
Figure 4. Exposure to trauma and antibody treatment do not affect general anxiety and locomotor activity. At days 3, 7, and 14 following the exposure to trauma, mice were subjected to elevated plus-maze and open field assays. General anxiety was measured in the elevated plus-maze assay where the preference of the tested mice for the open arms indicates for lower anxiety. (A) A graph presenting the ration of open arms duration to total arms duration of the various sub-groups. Similarly, the preference of the tested mice for the corners of the open field arena indicates for increased anxiety. (B) A graph presenting the duration the mice spent in the corners of the open field arena. (C) A graph presenting the total distance the mice travelled in the open field arena as an indication for locomotor activity. . All data in the graphs is presented as mean ± SE. *p < 0.05.

Figure 5. Exposure to trauma and antibody treatment affect trauma related behavior. At days 3, 7 and 14 following the exposure to trauma, mice were placed in the same arena in which they were exposed to the electric shock trauma for 5 min. Freezing behavior was measured as the duration of total inactivity by EthovisionTM tracking system. (A) A graph presenting inactivity duration in the different sub-groups. Social behavior was assessed as the duration of interaction between the tested mice and a novel unfamiliar mouse for 5 min, 3, 7- and 14-days following the exposure to trauma. (B) A graph presenting interaction duration in the different sub-groups. All data in the graphs is presented as mean ± SE. *p < 0.05, ***p < 0.0005, ****p < 0.0001. Paired symbols represent statistical significance between the two corresponding groups: $p < 0.05, &p < 0.05, #p < 0.05.
Social interaction in our study was found to be inversely correlated with the number of newly formed DCX
+ neurons in the dentate gyrus, and positively correlated with the NOTCH effector
Hes1 gene expression (
Figure 6). While IL-17A expression is known to be regulated by NOTCH signaling, it was recently reported that it can activate NOTCH signaling as well
[42]. Similarly, in the murine schizophrenia model treated with mesenchymal stem cells, long term improvement in social behavior was also positively correlated with the NOTCH ligand
Dll1 gene expression in the hippocampus
[39]. Indeed,
Hes1 gene expression in mature neurons is important for maintaining behavior
[43]. We propose that by promoting neuronal maturation and
Hes1 gene expression, IL-17A may prevent social deficits.

Figure 6. Social behavior correlates with hippocampal neurogenesis. Linear regression graphs depicting the correlation between Hes1 gene expression and social interaction duration at day 7 (A). Correlation between the number of DCX+ cells in the dentate gyrus and social interaction duration at day 14 for all experimental groups (B) and trauma-exposed groups only (C). Correlations were calculated using Pearson test.
In conclusion, it's suggested that IL-17 is involved in the deregulation of hippocampal neurogenesis induced by exposure to inescapable electric foot shock. Nevertheless, it may be crucial for the preservation of social behavior. However, our study was limited to female mice and further study is required to validate IL-17’s role in males as well. Future studies should also evaluate the role of peripheral immune cells as mediators of IL-17’s effect on neurogenesis and behavior. Finally, it's proposed that studying IL-17 signaling may be applied in humans for developing therapeutic strategies for treating social deficits in PTSD patients and other anxiety-related disorders.