| Version | Summary | Created by | Modification | Content Size | Created at | Operation |
|---|---|---|---|---|---|---|
| 1 | Giustino Varrassi | -- | 2274 | 2024-03-18 18:52:41 | | | |
| 2 | Lindsay Dong | + 5 word(s) | 2279 | 2024-03-19 03:07:40 | | |
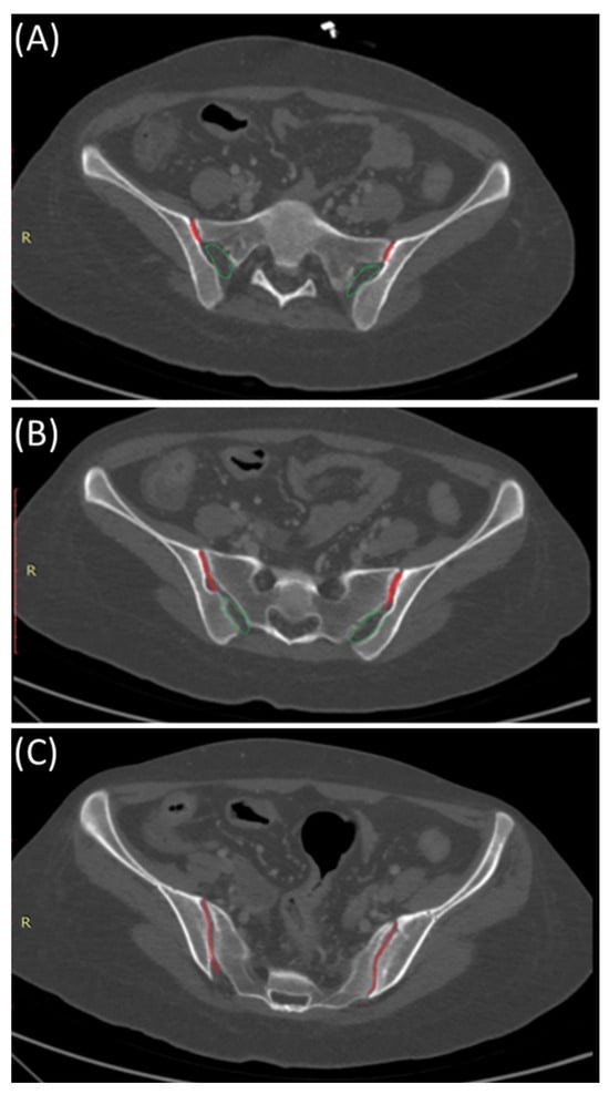
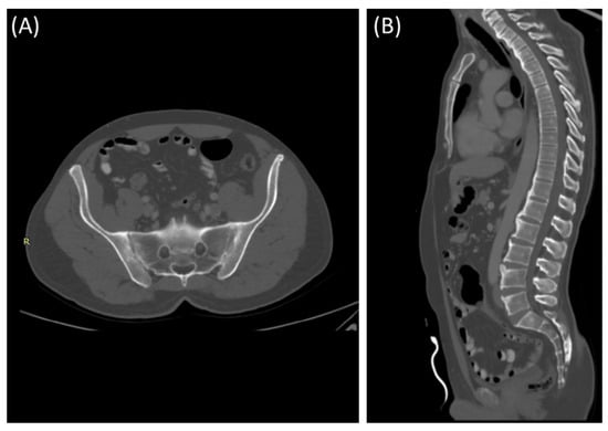
Sacroiliitis is the inflammation of the sacroiliac joint, the largest axial joint in the human body, contributing to 25% of lower back pain cases. It can be detected using various imaging techniques like radiography, Magnetic Resonance Imaging (MRI), and Computed Tomography (CT) scans. Treatments range from conservative methods to invasive procedures. Recent advancements in artificial intelligence offer precise detection of this condition through imaging. Treatment options range from physical therapy and medications to invasive methods like joint injections and surgery.





