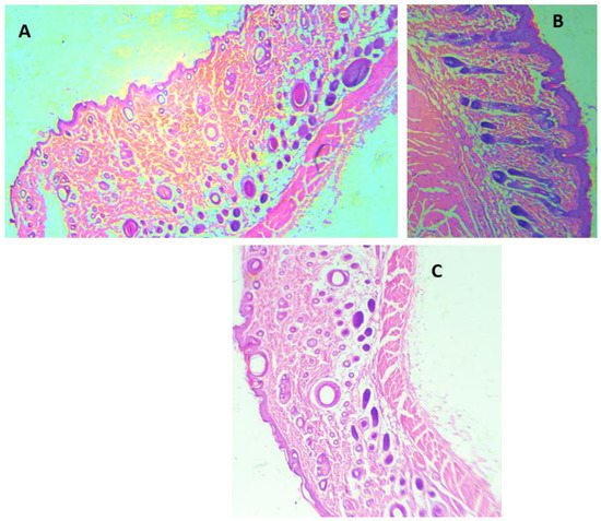
Artemisia judaica (ArJ) is a Mediterranean aromatic plant used traditionally to treat gastrointestinal ailments, skin diseases, atherosclerosis, and as an immuno-stimulant. Researches validate the curative role of ArJ in the treatment of skin wounds, which is attributed to its antioxidant and anti-inflammatory effects, as well as its high proportion of oxygenated monoterpenes and cinnamate derivatives.
| Locations | Major Constituents | Y% | Ref. |
|---|---|---|---|
| Saudi Arabia | cis-Thujone (2.5%), thymol (3.5%), trans-sabinyl acetate (3.3%), carvacrol (3.5%), b-eudesmol (13.1%), eudesma-4 (15), 7-dien-1-b-ol (3.5%), and hexadecanoic acid (5.7%) | 0.18% (v/w) | [24] |
| Algeria | Piperitone (66.17%), ethyl cinnamate isomer (6.11%), spathulenol (2.34%), E-longipinane (2.55%) | 1.7% (w/w) | [33] |
| Egypt | Piperitone (49.1%) and camphor (34.5%), borneol (3.90%) | [34] | |
| Sinai, Egypt | Camphor (31.4%), endo-borneol (5.72%), piperitone (29.9%) | 0.28% | [18] |
| Jordan | Artemisia ketone (9–24%), chrysanthenone (4–31%), piperitone (3–15%), camphor (0.3–16%), cinnamate (11.0%) | 0.4–0.9% (w/w) | [20,35][20][35] |
| Libya | cis-Chrysanthenol (9.1%), piperitone (30.2%), ethyl cinnamate (3.8%). | 0.62% (w/w) | [23] |

| RT | Chemical Compounds | Area Mean | RIcal | RIrep | m/z | Weight g/100 g of the Plant |
|---|---|---|---|---|---|---|
| 12.096 | (Z)-3-Hexenol | 0.50 ± 0.08 | 845 | 845 | 0.0085 | |
| 12.209 | 2-Methyl-ethylbutanoate | 0.4 ± 0.06 | 850 | 853 | 0.0068 | |
| 16.403 | Sabinene | 0.13 ± 0.11 | 953 | 954 | 59.04 (100%), 81.05 (96.37%), 96.07 (83.12%) | 0.0022 |
| 18.449 | α-Phellandrene | 1.30 ± 0.16 | 1000 | 999 | 68.04 (100%), 79.03 (42.69%), 93.04 (93.23%) | 0.0222 |
| 19.795 | Limonene | 0.72 ± 0.01 | 1029 | 1028 | 85.04 (100%), 55.03 (12.29%), 70.07 (7.28%) | 0.0123 |
| 20.239 | 1,8-Cineole | 2.56 ± 0.05 | 1038 | 1040 | 69.04 (100%), 110.08 (70.37%), 95.06 (46.98%) | 0.0437 |
| 21.359 | γ-Terpinene | 3.58 ± 0.18 | 1062 | 1063 | 135.05 (100%), 91.03 (20.36%), 107.03 (11.26%) | 0.0612 |
| 23.548 | Linalool | 1.21 ± 0.04 | 1108 | 1104 | 91.04 (100%), 92.04 (98.97%), 55.04 (47.04%) | 0.0207 |
| 23.739 | α-Thujone | 5.94 ± 0.09 | 1112 | 1112 | 95.06 (100%), 81.04 (68.49%), 109.04 (35.48%) | 0.1016 |
| 24.24 | β-Thujone | 3.61 ± 0.03 | 1123 | 1124 | 84.0 (100%), 55.02 (80.71%), 126.05 (47.17%) | 0.0617 |
| 24.49 | α-Campholenal | 0.91 ± 0.02 | 1128 | 82.04 (100%), 110.06 (91.66%), 95.04 (43.11%) | 0.0156 | |
| 24.639 | Terpinene-4-ol | 6.42 ± 0.17 | 1132 | 1140 | 70.04 (100%), 83.03 (71.89%), 71.03 (29.17) | 0.1098 |
| 25.443 | Isothujol | 0.27 ± 0.47 | 1149 | 1145 | 0.0046 | |
| 25.651 | Camphor | 1.92 ± 0.09 | 1154 | 1155 | 68.01 (100%), 81.02 (26.97%), 55.04 (18.33%) | 0.0328 |
| 26.454 | Borneol | 0.47 ± 0.01 | 1170 | 1170 | 95.04 (100%), 110.04 (48.36%), 54.06 (25.12%) | 0.0080 |
| 27.156 | p-Cymene-8-ol | 0.08 ± 0.14 | 1186 | 1185 | 135.06 (100%), 150.08 (40.42), 91.03 (32.05) | 0.0014 |
| 29.403 | Neral | 0.36 ± 0.00 | 1235 | 1236 | 69.02 (100%), 68.01 (17.21%), 83.01 (11.68%) | 0.0062 |
| 30.034 | Linalyl acetate | 0.10 ± 0.17 | 1249 | 1250 | 107.06 (100%), 95.04 (34.18), 55.03 (14.79%) | 0.0017 |
| 30.845 | Piperitone | 31.99 ± 0.50 | 1268 | 1260 | 82.04 (100%), 110.02 (37.44%), 95.06 (19.20%) | 0.5470 |
| 31.485 | Phellandral | 0.38 ± 0.02 | 1281 | 0.0065 | ||
| 31.965 | p-Cymen-7-ol | 0.08 ± 0.13 | 1292 | 1290 | 0.0014 | |
| 32.146 | Thymol | 1.81 ± 0.03 | 1296 | 1297 | 135.06 (100%), 107.03 (11.26), 77.01 (10.75%) | 0.0309 |
| 33.406 | Carvacrol | 0.10 ± 0.12 | 1325 | 1324 | 0.0017 | |
| 33.643 | Citronellyl acetate | 0.89 ± 0.02 | 1330 | 1334 | 107.06 (100%), 91.04 (39.11), 122.08 (15.51) | 0.0152 |
| 34.649 | (E)-Methyl cinnamate | 0.35 ± 0.02 | 1354 | 1355 | 131.02 (100%), 103.03 (61.07), 162.04 (49.31%) | 0.0060 |
| 35.894 | Cis-Ethyl cinnamate | 4.02 ± 0.06 | 1383 | 1376 | 131.04 (100%), 103.04 (48.29%), 77.03 (30.40%) | 0.0687 |
| 36.303 | Jasmone | 0.71 ± 0.02 | 1392 | 1396 | 91.03 (100%), 95.03 (66.88%), 79.03 (60.65%) | 0.0121 |
| 36.658 | β-Bourbounene | 4.06 ± 0.17 | 1401 | 1401 | 111.02 (100%), 137.07 (41.99%), 180.09 (21.39%) | 0.0694 |
| 37.754 | β-Caryophyllene | 0.43 ± 0.08 | 1427 | 1429 | 161.12 (100%), 105.04 (57.31%), 93.05 (27.09%) | 0.0075 |
| 39.75 | Trans-Ethyl cinnamate | 13.67 ± 0.55 | 1477 | 1455 | 131.04 (100%), 103.04 (48.29%), 77.03 (30.40%) | 0.2337 |
| 40.542 | Valencene | 3.24 ± 0.09 | 1497 | 1497 | 161.12 (100%), 105.04 (57.31%), 91.04 (53.35%) | 0.0554 |
| 41.138 | γ-Cadinene | 0.79 ± 0.14 | 1511 | 1513 | 161.11 (100%), 133.07 (30.58%), 120.07 (27.73%) | 0.0135 |
| 41.968 | σ-Cadinene | 2.37 ± 0.09 | 1532 | 1526 | 91.04 (100%), 205.11 (86.11%), 77.02 (46.25%) | 0.04052476 |
| 44.321 | Spathulenol | 3.33 ± 0.07 | 1593 | 1575 | 91.04 (100%), 93.05 (73.39), 77.02 (46.25%) | 0.0569 |
| 47.198 | β-Eudesmol | 0.22 ± 0.19 | 1671 | 1672 | 59.04 (100%), 149.11 (67.04%), 146.14 (33.10%) | 0.0038 |
| 48.344 | a-Caryophylene acetate | 1.11 ± 0.31 | 1702 | 1696 | 67.04 (100%), 95.06 (62.38%), 96.07 (41.92%) | 0.0190 |
| Total | 100 | 1.71 | ||||
| Monoterpene hydrocarbons | 5.74 | |||||
| Oxygenated monoterpenes | 57.20 | |||||
| Sesquiterpene hydrocarbons | 10.88 | |||||
| Oxygenated sesquiterpenes | 4.66 | |||||
| Phenolics | 1.87 | |||||
| Cinnamic acid derivatives | 18.03 | |||||

Preliminary antimicrobial activity of ArJ essential oil. (
a) Staphylococcus aureus (S. aureus) ATCC 29213; () Staphylococcus aureus (S. aureus) ATCC 29213; (
b) Staphylococcus saptophyticus (S. saptophyticus) ATCC 43867; () Staphylococcus saptophyticus (S. saptophyticus) ATCC 43867; (
c) Streptococcus pyogenes (S. pyogenes)-A ATCC 27736; () Streptococcus pyogenes (S. pyogenes)-A ATCC 27736; (
d) Streptococcus pneumoniae (S. pneumoniae) ATCC 49619; () Streptococcus pneumoniae (S. pneumoniae) ATCC 49619; (
e) Enterococcus faecalis (E. faecalis) ATCC 29212; () Enterococcus faecalis (E. faecalis) ATCC 29212; (
f) Bacillus cereus (B. cereus) ATCC 10876; () Bacillus cereus (B. cereus) ATCC 10876; (
g) Escherichia coli (E. coli) ATCC 25922; () Escherichia coli (E. coli) ATCC 25922; (
h) Klebsiella pneumonie (K. pneumoniae) ATCC 27736; () Klebsiella pneumonie (K. pneumoniae) ATCC 27736; (
i) Salmonella typhimurium (S. typhimurium) ATCC 13311; () Salmonella typhimurium (S. typhimurium) ATCC 13311; (
j) Shigella flexneri (S. flexneri) ATCC 12022; () Shigella flexneri (S. flexneri) ATCC 12022; (
k) Proteus vulgaris (P. vulgaris) ATCC 6380; () Proteus vulgaris (P. vulgaris) ATCC 6380; (
l) Proteus mirabilis (P. mirabilis) ATCC 29906; () Proteus mirabilis (P. mirabilis) ATCC 29906; (
m) Candida albicans (C. albicans) ATCC 10231; () Candida albicans (C. albicans) ATCC 10231; (
n) Aspergillus niger (A. niger) ATCC 6275. AJ referred to Artemisia judaica essential oil, while C referred to the drug control.) Aspergillus niger (A. niger) ATCC 6275.
| Microorganisms | Zone of Inhibition (mm) | |
|---|---|---|
| 15.0 ± 0.20 | ||
| 13.1 ± 0.35 | ||
| Microorganisms | MIC | MBC | MBIC | ||||
|---|---|---|---|---|---|---|---|
| ArJ Essential Oil | Control Drugs | ||||||
| MBEC | |||||||
| S. aureus ATCC 29213 | 7.7 ± 0.20 | 14.2 ± 0.20 | |||||
| S. aureus ATCC 29213 | 50 | 100 | 50 | 100 | |||
| S. saprophyticus ATCC 43867 | 8.8 ± 0.20 | 12.8 ± 0.20 | |||||
| S. saprophyticus ATCC 43867 | 50 | 100 | 50 | 100 | S. pyogenes (A) ATCC 27736 | 7.4 ± 0.30 | 11.7 ± 0.10 |
| S. pyogenes (A) ATCC 27736 | 100 | >100 | 100 | 200 | S. pneumoniae ATCC 49619 | ||
| S. pneumoniae ATCC 49619 | 7.2 ± 0.17 | 11.7 ± 0.20 | |||||
| 100 | >100 | 100 | 200 | E. faecalis ATCC 29212 | 8.7 ± 0.17 | 11.9 ± 0.10 | |
| E. faecalis ATCC 29212 | 100 | >100 | 100 | 200 | B. cereus ATCC 10876 | 12.9 ± 0.10 | |
| B. cereus | 19.6 ± 0.35 | ||||||
| ATCC 10876 | 6.25 | 12.5 | 6.25 | 12.5 | E. coli ATCC 25922 | 6.4 ± 0.10 | 23.1 ± 0.20 |
| E. coli ATCC 25922 | K. pneumoniae ATCC 27736 | 6.2 ± 0.10 | 21.1 ± 0.10 | ||||
| S. typhimurium ATCC 13311 | |||||||
| S. typhimurium ATCC 13311 | 10.0 ± 0.20 | 16.3 ± 0.30 | |||||
| 50 | 12.5 | 25 | S. flexneri ATCC 12022 | 6.2 ± 0.10 | 17.9 ± 0.17 | ||
| P. vulgaris ATCC 6380 | 8.1 ± 0.17 | 16.2 ± 0.35 | |||||
| 100 | 50 | 100 | |||||
| K. pneumoniae ATCC 27736 | 25 | 50 | 25 | 50 | 12.5 | 25 | |
| S. flexneri ATCC 12022 | 12.5 | 25 | 12.5 | 25 | |||
| P. vulgaris ATCC 6380 | 25 | 50 | 25 | 50 | P. mirabilis ATCC 29906 | 7.7 ± 0.20 | 18.7 ± 0.20 |
| P. mirabilis ATCC 29906 | 100 | >100 | 100 | 200 | C. albicans ATCC 10231 | 25.2 ± 0.20 | 25.0 ± 0.20 |
| C. albicans ATCC 10231 | 6.25 | 12.5 | NT | NT | A. niger ATCC 6275 | ||
| A. niger ATCC 6275 | 3.125 | 6.25 | NT | NT |


| Groups | CAT | SOD | LP |
|---|---|---|---|
| ng/g | |||
| I. Intact control | 1.35 ± 0.05 A,B | 0.04 ± 0.00 A | 836.9 ± 37.75 A |
| II. Negative control (skin burn without treatment) | 1.11 ± 0.06 A | 0.04 ± 0.01 A | 1214 ± 51.46 B |
| III. Silver sulfadiazine | 1.79 ± 0.204 B | 0.19 ± 0.06 A,B | 1197 ± 30.30 B |
| IV. Artemisia judaica | 1.82 ± 0.17 B | 0.37 ± 0.13 B | 1291 ± 18.85 B |
| Groups | IL-1b | IL-6 | TNF-α | TGF-b1 | IL-10 |
|---|---|---|---|---|---|
| ng/g | |||||
| I. Intact control | 20.77 ±1.95 A | 806.1 ±10.20 A | 9.57 ±0.55 A | 4.19 ±0.24 A | 3.54 ±0.19 A |
| II. Negative control (skin burn without treatment) | 19.37 ± 2.33 A | 776.2 ±32.77 A | 15.54 ± 0.92 B | 3.87 ± 0.09 A | 2.99 ± 0.25 A |
| III. Sulfadiazine | 23.55± 0.88 A | 789.4 ±18.02 A | 12.85± 0.26 C | 19.28± 0.30 B | 12.68± 0.15 B |
| IV. Artemisia judaica | 19.55 ± 1.34 A | 869.2 ±51.91 A | 11.96 ± 0.34 C | 19.18 ± 0.33 B | 13.39 ± 0.35 B |