Ultrasound is an excellent initial imaging modality for assisting physicians in the rapid and accurate diagnosis of small bowel occlusion.
Ultrasound criteria for the diagnosis of SBO can be divided into diagnostic and staging criteria (Table 1) [1].
Table 1. Ultrasound signs of SBO.
| Diagnostic Criteria | |
|---|---|
| Loop Dilation | >2.5 cm |
| Kinesis Alterations | Altered Hyperkinesis (Early SBO) Hypokinesis Akinesis |
| Staging Criteria | |
| Free Fluid | |
| Parietal Alterations | Parietal and Valvulae Conniventes Thickening Parietal Wall Stratification |
| Ancillary Signs (Increased Diagnostic Confidence) | ‘Caliber Jump’ ‘Kinesis Jump’ |
The diagnostic criteria include the presence of dilated loops and abnormal peristalsis while staging criteria are represented by parietal and valvulae conniventes alterations and by the presence of free extraluminal fluid.
Small bowel dilatation is defined as bowel diameter ≥2.5 cm measured from outer wall to outer wall [2][3][4]. At an early stage of the disease, the diameter should not be considered an absolute criterion for diagnosis, and other signs must be used: the bowel loop diameter at this stage could be within the normal range, but bowel loops are fluid-filled, hyperkinetic, and with plicar hyper-representation[2].
Peristalsis alteration represents a fundamental criterion for the diagnosis of mechanical ileus [1]. In an emergency setting, there is no numerical nor quantitative parameter to evaluate kinesis, and although the evaluation is subjective, the method appears to have excellent diagnostic accuracy [2][5][6]. The kinesis can be reduced; ineffective, with a back-and-forth motion; or completely absent. Two important notes regarding the evaluation of peristalsis must be highlighted: the first, already mentioned above, concerns the ileum in the early stage in which the upstream bowel loop may appear hyperkinetic. A simple ileus at an early stage may not be easy to diagnose and requires adequate training, but evidence of fluid stasis, hyperkinesis, and a mildly dilated bowel loop can increase diagnostic confidence. Another important note concerning the evaluation of bowel kinesis is the possible error in interpreting false bowel movements due to the transmission of diaphragm breathing excursion; in this case, the false bowel movement appears to be synchronous with breathing events. In summary, bowel kinesis can be increased when SBO is in the initial phase but is reduced, ineffective, or absent in decompensated and complicated ileus. In the case of the absence of peristalsis, the bowel loop is defined as akinetic. In ultrasound evaluation, evidence of groups of bowel loops with different kinesis and diameter (loops proximal to the obstruction or downstream) increases diagnostic confidence (bowel jump kinesis) [2].
The persistence of obstruction causes an increase in endoluminal pressure, and the liquid content normally present in the intestinal lumen cannot be reabsorbed. Bowel layers act as a sponge, determining the passage of fluid in the peritoneal cavity. In the initial phase, the liquid is disposed between the recesses of the mesenteric fan, giving rise to the characteristic ‘sign of the thong’ [7]. With the persistence of the obstruction, the amount of free fluid increases, and it can be found in the abdominal cavity. The presence of free fluid is directly correlated to bowel parietal vascular alterations [8][4][9][10].
Parietal changes are characterized by the presence or absence of parietal and valvulae conniventes thickening and parietal wall stratification. The evaluation of parietal changes follows a dichotomic diagnostic process based on the reference values (normal thickness 1–3 mm, wall thickening >3 mm, thinned walls <1 mm): thickened walls/valvulae conniventes (YES/NO) or thinned walls (YES/NO) [11][12][3]. Although ultrasound allows us to identify the five concentric layers of the intestinal loops, this evaluation is not applied in the diagnosis of SBO. In practice, the evaluation is limited to the presence or absence of parietal stratification (two-layer double halo sign or three-layer target sign) (Figure 4a–d and Figure 5a,b) [11][3][13].



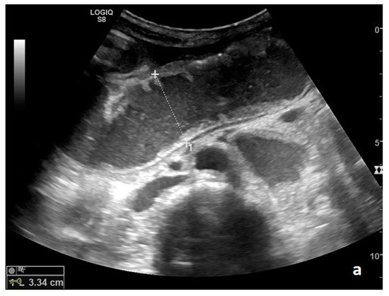
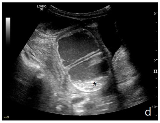
Figure 4. A complicated SBO in a 69-year-old male with gastric cancer and peritoneal carcinosis. Ultrasound images show long (a) and axial (b) evaluations of a fluid-filled, dilated small bowel loop with hyperechogenic floating material (shown with an asterisk) (b,d). Bowel peristalsis was absent. Mild parietal and valvulae conniventes thickening are present (c,d). Downstream loops present normal caliber (bowel jump diameter). Free fluid is interposed between bowel loops (black arrow) (b).


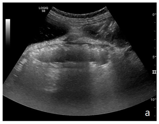
Figure 5. A complicated SBO presenting fluid-filled bowel loops with thickened walls with a stratified echo pattern (a) and thickened valvulae conniventes (b). Free fluid in the abdominal cavity was detected (b). Tail comet artifacts for air-fluid levels are visible (a). At the time of surgery, the bowel loop was necrotic.
The valvulae conniventes (Kerckring valves, circular folds) are permanent folds composed of mucosa and submucosa that project into the intestinal lumen and are clearly visible in the case of fluid distension (keyboard sign) [5]. At an early stage of SBO, it is not uncommon to see the valvulae in the upstream loop appearing more numerous and closer to each other. As the occlusive state continues, the loop upstream of the obstructive fulcrum becomes weaker, bowel walls appear thin, and the folds flatte. The upstream loops more distant from the obstructive fulcrum may still present peristalsis, albeit reduced and ineffective. In complicated ileus, with the onset of vascular loop distress, the walls and valvulae become thicker and weaker due to parietal edema and venous stasis, with possible dramatic parietal necrosis and subsequent perforation (Figure 4a–d and Figure 5a,b) [2][14].
Ancillary signs are useful in increasing diagnostic confidence.
These refer to the ‘bowel loop jump’—the visualization of two groups of loops with a clear difference in size (‘caliber jump’) or peristalsis (‘kinesis jump’). In both cases, a comparison should be made between the loop upstream and that downstream of the obstruction [2].
This entry is adapted from the peer-reviewed paper 10.3390/diagnostics11040617